+7 (495) 989 51 98 Обратный звонок
Написать в WhatsApp Написать в Telegram

Видеопроцессор Pentax EPK-i7010 Optivista

Код товара: 0G-3288
Официальный поставщик

Эндоскопический видеопроцессор Pentax EPK-i7010 OPTIVISTA – система экспертного класса, предоставляющая специалистам максимум возможностей и инновационных технологий, позволяющих получать максимально информативное изображение в любой ситуации.

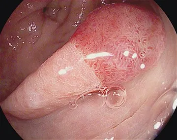
Яркий ксеноновый свет 300 Вт. Качество изображения класса HD+. Интраоперационные технологии улучшения изображения i-scan (цифровая) и i-scan OE (оптическая) позволяют увидеть больше, чем на традиционном эндоскопическом изображении.

EPK-i7010 OPTIVISTA подходит для любых областей: гастроэнтерология, эндосонография, пульмонология, отоларингология. Для наилучшего результата рекомендуется использовать с видеоэндоскопами высокого разрешения Pentax 90i и i10.

Производитель
Страна
Код товара
0G-3288
Цена по запросу
Запросить стоимость
Поддержка и оформление заказов
Ежедневно с 9:00 до 19:00

Изображение высочайшего качества

  • Стандарт HD+;
  • 300 Вт ксенонового света;
  • Естественная цветопередача благодаря холодному спектру света;
  • Высокая контрастность для легкого обнаружения подозрительных участков;
  • Подавление шумов, артефактов, бликов, дрожания руки оператора;
  • Инновационные цифровая и оптическая системы улучшения изображения.

Комфорт эксплуатации

  • Компактные размеры, эргономичный дизайн, легкая настройка позволяют уделить максимум внимания пациенту;
  • Цветной сенсорный экран позволяет выполнять настройку одним касанием даже в перчатках;
  • Программируемые кнопки для мгновенного доступа к функциям, которые требуются специалисту;
  • Захват лучшего снимка с помощью функции заморозки изображения для последующего сохранения кадра.

Инновационные технологии

Видеопроцессор EPK‑i5000 имеет два режима улучшения изображения: i-scan – программное улучшение с помощью хромоэндоскопических фильтров, i-scan OE – специальный оптический фильтр.

Данные технологии позволяют получить четкое изображение кровеносных сосудов, протоков желез и слизистой оболочки с более высоким контрастом, чем при использовании белого света.

Программируемые кнопки на рукоятке эндоскопа позволяют переключаться между алгоритмами улучшения изображения прямо во время операции.

Pentax EPK-i7010 Optivista
i-scan 1 (SE)

i-scan 1 (SE) Обнаружение подозрительного участка

i-scan 2 (TE)

i-scan 2 (TE) Визуализация рельефа слизистой

i-scan 3 (OE)

i-scan 3 (OE) Визуализация сосудистой сетки

Режим SE

Усиливая структуру слизистой в естественной цветопередаче, режим SE (Surface Enhancement) помогает в обнаружении прежде всего плоских повреждений, выделяя аномалии

Режим TE

Режим TE (Tone Enhancement) выделяет цветом изменения структуры сосудов и слизистой

i-scan OE

i-scan OE выделяет цветом поверхностные структуры кровеносных сосудов, железистых протоков и слизистой

Технология i-scan

  • Улучшает видимость структуры слизистой оболочки и сосудов;
  • Определяет границы опухоли;
  • Указывает оптимальную для взятия биопсии область.

Точная оценка с помощью функции TwinMode

Режим TwinMode предназначен для наглядного сравнения и интерпретации эндоскопических HD+ изображений в белом свете и различными режимами и результатами применения опции i-scan.

Сохранение изображений

  • Программируемые кнопки позволяют выполнять сохранение фото или видео;
  • Запись аудио сопровождения возможна через внешний микрофон;
  • Режим заморозки изображения захватывает четкую неискаженную картинку;
  • Материалы сохраняются в формате HD+;
  • Цифровой формат DVI-D позволяет транслировать изображение на несколько мониторов;
  • Все управление осуществляется с рукоятки видеоэндоскопа.

Основные характеристики
Производитель
Страна
Код товара
0G-3288
Занос крупногабаритного оборудования в клинику
от 6 000 руб.
Варианты оплаты товаров

Минимальная сумма заказа 30 000 руб. Товар без оплаты не отгружается.

Работаем с Юридическими лицами, Государственными компаниями и Физическими лицами.

Безналичная оплата
Вы делаете заказ, мы выставляем Вам счет, действительный для оплаты в течении 3 дней. После поступления денег на наш р/с, наша служба доставки свяжется с вами и уточнит удобное для вас время доставки.
Наличная оплата
Оплата за товар производится в момент доставки товара. Вы передаете денежные средства курьеру и получаете заказанный товар со всеми необходимыми документами (чек, накладная, сертификат). Оплата за наличный расчет, производится в пределах г. Москвы и ближайшего Подмосковья. Если товар отсутствует на нашем складе, доставка за наличный расчет согласовывается с Вашим менеджером.
Лизинг
Для продажи оборудование в лизинг мы выбрали партнёра компанию Лизинг-медицина - специализированная лизинговая компания, занимающаяся лизингом медицинского оборудования, основанная в 2002 году. За время работы на рынке лизинговых услуг компания зарекомендовала себя как надежный стратегический партнер и вошла в число ведущих лизинговых компаний России.
Кредит
Оплачивайте покупку равными частями в течение срока, который выберете сами. Заполните онлайн-форму через сервис HappyLend. Партнеры сервиса: Альфа-Банк, Банк Восточный, Почта Банк, Кредит Европа Банк, Тинькофф Банк, ОТП Банк.
Варианты и стоимость доставки

Доставляем заказы по всей территории России. Мы всегда помогаем клиенту выбрать максимально выгодный и быстрый вариант доставки

Курьерская доставка в Московскую область.
км от МКАД Сумма заказа Стоимость доставки
до 10 км. от 150 000 руб. Бесплатно
до 10 км. до 150 000 руб. 3 000 руб.
до 30 км. от 250 000 руб. Бесплатно
до 30 км. до 250 000 руб. 5 000 руб.
до 50 км. от 500 000 руб. Бесплатно
до 50 км. до 500 000 руб. 10 000 руб.
Курьерская доставка по Москве в пределах МКАД
Сумма заказа Стоимость доставки
до 30 000 руб. от 2 500 до 5 000 руб.
от 30 000 руб. Бесплатно
Доставка транспортными компаниями по России
Транспортная компания Минимальная сумма заказа Стоимость доставки
Деловые Линии 15 000 руб. Определяет ТК
ПЭК 15 000 руб. Определяет ТК
ЖелДорЭкспедиция 15 000 руб. Определяет ТК
КИТ 15 000 руб. Определяет ТК
Авиамир 15 000 руб. Определяет ТК
Доставка Почтой России
Минимальная сумма заказа Стоимость доставки
6 000 руб. от 400 руб.
Срочная доставка в пределах МКАД
Сумма заказа Стоимость доставки
Не влияет 7 000 руб
Информация для ознакомления

Возникли вопросы? Позвоните нам по телефону или напишите нашему онлайн-консультанту.

Условия доставки

  • При сумме заказа от тридцати тысяч рублей в пределах МКАД, доставка бесплатная, при меньшей сумме покупки действует система самовывоза из офиса компании.
  • Стандартно доставка грузов в пределах *Москвы и Московской области, осуществляется от 2 до 4 дней после поступления денежных средств на наш расчетный счет и сдачи заявки на склад для ее комплектования Вашим менеджером.
  • Доставка крупногабаритного оборудования и прочей нестандартной продукции (стоматологические установки, компрессора, автоклавы, рентгены) по Москве в пределах МКАДа или в пределах Московской области, оговаривается в каждом конкретном случае отдельно и зависит от необходимости монтажа оборудования (согласование с сервисной службой), условий подъезда и доступа к месту разгрузки у грузополучателя.
  • Покупатель должен обеспечить погрузочно-разгрузочные работы на месте приемки оборудования, в случае, если Покупатель не может обеспечить погрузочно-разгрузочные работы на территории клиники, их стоимость обговаривается индивидуально с нашей службой логистики, в зависимости от количества и веса стоматологического оборудования.
Время доставки
  • Время доставки согласовывается с менеджером Службы доставки, который обязательно свяжется с Вами сразу после того, как Вы разместите свой заказ.
  • Неправильно указанный номер телефона, неточный или неполный адрес могут привести к дополнительной задержке! Пожалуйста, внимательно проверяйте Ваши персональные данные при регистрации и оформлении заказа.
  • Доставка выполняется ежедневно с 10:00 до 20:00 часов, в субботу с 10:00 до 14:00, в воскресенье доставки нет.
  • Время осуществления доставки зависит от времени размещения заказа и наличия товара на складе: Вы также можете указать любое другое удобное время доставки, и покупка будет доставлена в удобное Вам время. Иное время доставки, а также время доставки в населенные пункты области определяется по договоренности с клиентом.
Получение товара
  • При доставке Вам будут переданы все необходимые документы на покупку: товарный, кассовый чеки, а также гарантийный талон.
  • При оформлении покупки на организацию, Вам будут переданы счет, а также накладная, в которой необходимо поставить печать Вашей организации.
  • Просим Вас помнить, при доставке Вам заказанного товара проверяйте комплектность доставленного товара, работоспособность товара, соответствие доставленного товара описанию на нашем сайте, также проверьте товар на наличие механических повреждений.
  • При не заявлении Вами при получении товара претензий по поводу механических повреждений, в дальнейшем подобные претензии не рассматриваются.
Ранее вы смотрели